When Your Immune System Targets Your Skin
A skin condition that involves a rash with itchy, purplish lesions that develop in one area of your body or in several regions, lichen planus is a lichenoid dermatosis. It is largely believed to be an autoimmune disorder with symptoms of inflammation where immune T-cells attack the protein in the skin and mucus membranes. The disorder is also associated with fatigue, depression, anxiety, and overall lower quality of life. It is most common in people between the ages of 30 and 60. There are several types of lichen planus, which we will explore below.
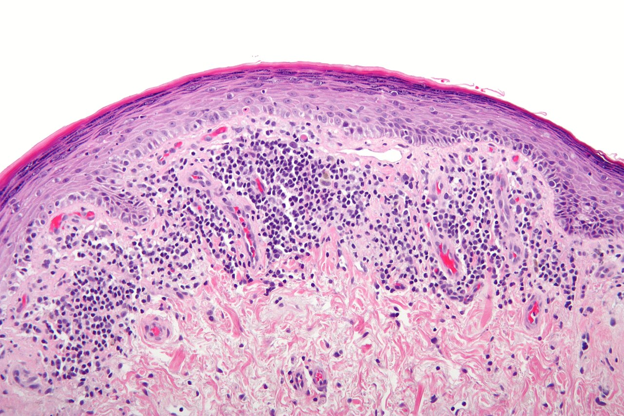
Cutaneous Lichen Planus
Impacting the skin, this type is known for its flat, purplish lesions that arise over several weeks. They can also be scaly patches that itch. It typically affects the face, nape of the neck, arms, back of the hands, skin folds (armpits and groin), scalp (lichen planopilaris) with corresponding hair loss, and the nails — causing splitting, ridging, thinning, and discoloration. Cutaneous lichen planus tends to resolve over time on its own without treatment.
Mucosal Lichen Planus
Affecting the mucous membranes, this type of lichen planus can arise in any mucosal tissue, but generally impacts the mouth. Characteristics include white lacy patches (Wickham’s striae), open sores, and blisters that can be quite painful. It tends to be difficult to treat and long-lasting.3 The three main classifications include:
Oral lichen planus that causes Wickham’s striae on the tongue, gums, and cheeks. Having a sensitivity to spicy-hot food is a common symptom.
Less common is genital lichen planus, which affects the head of the penis or the skin of the scrotum in males, and the vulva and/or vagina in females. Sex can be extremely uncomfortable with itchiness and pain.
A rare form, esophageal lichen planus arises in the esophagus and causes pain and difficulty with swallowing.
Nephron, CC BY-SA 3.0, via Wikimedia Commons
Causes
While there isn’t a hard and fast cause for the disorder, it is believed to be autoimmune in nature.1 Some researchers think it may arise due to an autoimmune reaction to certain viruses, such as the hepatitis C virus (HCV). This is because people diagnosed with LP are five times more likely to test positive for HCV, and those with HCV are five times more likely to develop lichen planus.2,5 The condition has also been associated with the use of the following medications:
- ACE inhibitors
- Antimalarial drugs
- Beta-blockers
- Thiazide diuretics
- Nonsteroidal anti-inflammatory drugs (NSAIDS)
- Tumor necrosis factor-alpha (TNF-a) inhibitors.
Stress and anxiety can also precede an outbreak of an LP rash4, which is why it’s crucial to manage both through self-care practices — such as spending time in nature, getting enough quality sleep, yoga, and keeping a gratitude journal. Moreover, a 2018 review also recommends that those with LP avoid extreme fatigue and insomnia, as both can worsen symptoms.6 For herbal support, see our Anxiety & Stress Tincture as well as our potent Sleep Blend.
Healthcare professionals also recommend using only fragrance-free soaps and beauty products, avoiding tight clothing, and patting instead of rubbing yourself dry after showering or swimming. Conventional treatments can involve topical creams and ointments, corticosteroids, antihistamines, and/or phototherapy.
Why Our Warrior Bundle Is My Daily Go-To For Autoimmunity
As with all autoimmune conditions, it is crucial to address not only inflammation and to modulate the immune response, but also to manage stress and avoid contagious illness that can cause a flare. This is why our Warrior Bundle is my number one autoimmune collection. In fact, I use it every day to manage my multiple sclerosis and to steer clear of bugs making the rounds. It includes dual-extracted, fruiting body tinctures of lion’s mane, reishi, and turkey tail medicinal mushrooms, plus our Balanced Gut Blend and Elderberry tincture, All-Purpose Salve, and powerful Usnea Spray. Here are the benefits of each:
ALL-PURPOSE SALVE
Our All-Purpose Salve helps soothe cuts, scrapes, minor wounds, chapped lips and noses, rashes, bites, stings, and sunburns. It contains herbs known for their antibacterial and antifungal properties and can be used inside the nose as a preventative against contagious illness or applied to wounds. Moreover, it helps calm swelling, bruising, and diaper rash.
LION’S MANE
Our dual-extracted lion’s mane tincture uses only the fruiting bodies for full effectiveness and potency. This powerful botanical supports cognitive and nerve function, promotes increased energy, and eases symptoms of stress. Tap here to learn more about the health benefits of this powerful herbal remedy.
REISHI
An excellent adaptogenic herb, Reishi tincture supports the body against the negative effects of stress. This mushroom helps foster better sleep and encourages healthier immune function. Our reishi tincture is dual-extracted and utilizes the fruiting bodies for full potency and effectiveness.
TURKEY TAIL
Turkey tail tincture is one of my top remedies — and for good reason. It is an outstanding botanical to ease inflammation, support gut and heart health, and encourage more balanced blood sugar. Our Turkey Tail tincture is dual-extracted and utilizes the fruiting bodies for full potency and effectiveness.
ELDERBERRY
Elderberry is one of Nicole’s favorite herbs for helping to avoid contagious illness and supporting the body’s ability to respond. Elderberry tincture is thought to be safe for those who have an autoimmune disorder. Additionally, it is outstanding for respiratory issues.
USNEA
Nicole’s number one go-to herb for keeping healthy during the cold and flu season and when she is traveling or in crowds. Usnea is an outstanding herb that can be sprayed onto the back of the throat to help avoid contagious illness. It can also be used topically to promote healing.
BALANCED GUT BLEND
Our balanced gut formulation contains anti-inflammatory and soothing herbs that help to support the intestinal tract and healthy gut function.
Life Changing!
“I have MS and I’ve tried just about everything to relieve the debilitating spasticity in my hands, including THC products (topicals, edibles, etc.), acupuncture (couldn’t afford it to see if would genuinely help), IV vitamin infusions (works but incredibly expensive). When I ordered this bundle my hopes were high and within the same day I felt a significant improvement in my hands. Truly life changing and I will be a subscriber for life! Thank you Dr. Apelian, you’ve done more for me than you could imagine”. -Lesley V.
Autoimmune care is about more than calming inflammation — it’s also important to support your body on every level, from immune balance to stress resilience. That’s why I created the Warrior Bundle, my go-to daily herbal support for navigating autoimmune challenges and staying strong year-round. Ready to take charge of your health? Visit Nicole’s Apothecary today and integrate our Warrior Bundle into your daily routine.
Nicole Apelian
Nicole’s Apothecary Products in this Post
References
- Boch K, Langan EA, Kridin K, Zillikens D, Ludwig RJ, Bieber K. Lichen planus. Front Med (Lausanne). 2021 Nov 1;8:737813. doi:10.3389/fmed.2021.737813
- García-Pola M, Rodríguez-Fonseca L, Suárez-Fernández C, Sanjuán-Pardavila R, Seoane-Romero J, Rodríguez-López S. Bidirectional association between lichen planus and hepatitis C—an update systematic review and meta-analysis. JCM. 2023;12(18):5777. doi:10.3390/jcm12185777
- Gupta S, Jawanda M. Oral lichen planus: an update on etiology, pathogenesis, clinical presentation, diagnosis and management. Indian J Dermatol. 2015;60(3):222. doi:10.4103/0019-5154.156315
- Kalkur, Chaithra et al. “Role of Depression, Anxiety and Stress in Patients with Oral Lichen Planus: A Pilot Study.” Indian journal of dermatology vol. 60,5 (2015): 445-9. doi:10.4103/0019-5154.159625
- Cassol-Spanemberg, Juliana et al. “Oral lichen planus and its relationship with systemic diseases. A review of evidence.” Journal of clinical and experimental dentistry vol. 10,9 e938-e944. 1 Sep. 2018, doi:10.4317/jced.55145
- Chiang, Chun-Pin et al. “Oral lichen planus – Differential diagnoses, serum autoantibodies, hematinic deficiencies, and management.” Journal of the Formosan Medical Association = Taiwan yi zhi vol. 117,9 (2018): 756-765. doi:10.1016/j.jfma.2018.01.021







